Zahnaufhellung
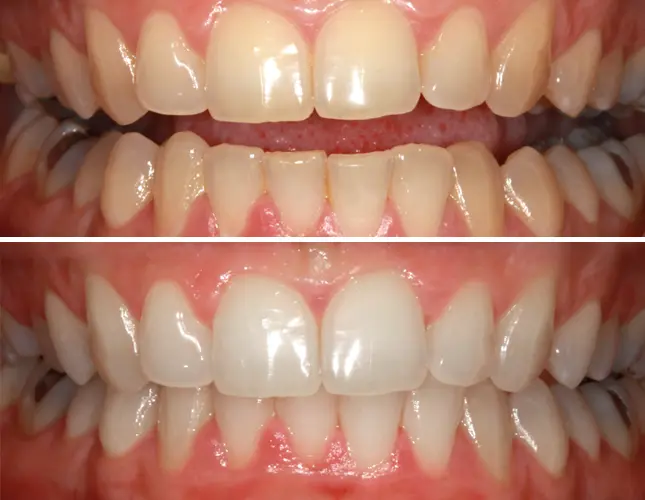
Resultate›
WARUM WEISSEN DIE ZÄHNE?
Ein strahlendes Lächeln zieht immer auf sich die Aufmerksamkeit anderer Menschen. Heutzutage strebt eine zunehmende Zahl von Menschen nach blendend weißen Lächeln, weil sie nicht mit der Farbe Ihrer Zähne zufrieden sind. Die Zähne verlieren ihren Glanz mit den Jahren. Der Zahnschmelz ist für den weißen Zahnglanz verantwortlich, und es gibt viele Faktoren, die den Farbwechsel des Schmelzes beeinflussen.
Prüfen Sie unsere Fähigkeiten

Die Zahnweißungprozedur
Die Zahnweißung ist angenehm, völlig schmerzfrei und SCHADET NICHT der Zahnsubstanz. Die Zahnweißung wird ausschließlich unter der Kontrolle einer Zahnarztes durchgeführt. Heutzutage ist die Zahnweißung ein sehr häufiges Verfahren und alle Altersgruppen können es machen.
Die Zahnweißung ist eine Behandlung, mit der Sie in einer sehr kurzen Zeit die gewünschten Ergebnisse erreichen können und ihre weißen Zähne wiederherzustellen.
Die Weißheit der Zähne wird vor Allem durch Mundhygiene und konsumierte Nahrungsmittel beeinflusst, wie z.B. Kaffee, Rotwein, Zigaretten, Antibiotika und unterschiedliche Arzneimittel. Um Ihnen mit Ihrem ersten Schritt zu helfen, haben wir einen Fragebogen erstellt, aufgrund von dem Sie sehen können, ob Sie ihre Mundhygiene und Gewohnheiten ändern sollten um die gewünschten Zähne zu haben, oder Sie stomatologische Zahnaufhellung brauchen.

In the case of devitalized tooth (extracted tooth nerve), tooth darkens over time and thereby impairs the appearance. In this case, it is possible to make a single tooth whitening or internal whitening, which achieves renewed harmony of the dental arch. Internal whitening means that a gel is injected within the chamber of the tooth, which enters dentine tubules and whitens the tooth structure from the inside. In this way it returns the natural color of the tooth, which had been darkened and ruined the esthetic dental arch. This process must be repeated in order to achieve lasting results, and how many times it must be repeated is mostly individual from case to case. In our past experience, the process of internal whitening should be repeated mostly every year and a half up to two.

Im Fall von einem devitalisierten Zahn (extrahierter Zahnnerv), wird der Zahn mit der Zeit dunkler und dadurch wird das Aussehen beeinträchtigt. In dem Fall ist es möglich, um eine Zahnweißung oder die Weißung von innen zu machen, was zu einer erneuten Harmonie der Zahnreihe führt. Interne Weißung bedeutet, dass in der Kammer des Zahns das Gel injiziert wird, und es dringt in die Dentin Tubuli und weißt die Zahnstruktur innerlich. Auf diese Weise kehrt die natürliche Farbe des Zahns zurück, der auf einem dunkleren Farbton genommen wurde und der die Ästhetik des Zahnreihes verdorben hat. Diese Prozedur muss, um die anhaltende Ergebnisse zu erzielen, wiederholt werden, und wie oft muss das wiederholt werden, hängt individuell von Fall zu Fall ab. In unseren bisherigen Erfahrungen sollte interner Zahnweißungprozess in der Regel jede eineinhalb bis zwei Jahre wiederholt werden.

Was sagen unsere Patienten über uns?
Ergebnisse
Erfahrung
Erfahrung
Wählen Sie Ihre Zahlungsart
Um Ihnen die Bezahlung Ihrer zahnärztlichen Behandlung zu erleichtern, gewähren wir Ihnen bei Barzahlung 5-15 % Rabatt.

















