Dental laboratory
Dental laboratory
Modern technologies and systems
Our dental technical laboratory is equipped with the latest technologies used for making prosthetic implants, like: the Amann Girrbach milling system, the Sirona inlab milling system, Exocad and Sirona programs for teeth design, Cerec and Primescan programs for digital dental imprints, and many others.
Show more Show lessIn the laboratory we use the best materials and cover all services in fixed and mobile prosthetics, as well as implantology, so patients can fully trust the work and the guarantee of the prosthetic implants made in our laboratory. Every day, the technicians are researching and implementing the latest systems for the production of prosthetic pieces so patients can have the best possible quality.
Show more Show lessVerify our expertise

CAD-CAM TECHNOLOGY
One of those systems is CAD-CAM technology, or the CAD-CAM revolution in dental medicine which designs teeth in just a few steps. CAD-CAM technology is characterized by the virtual design and quick smile design that enables the possibility of creating a unique substitute of perfect naturalness, color, and transparency that meets the expectations of even the most demanding patients.
DENTAL CROWNS
Dental veneers are a prosthetic device, thin as eggshells, which are permanently placed on the front surface of a tooth and which change the appearance of your teeth and smile.
Learn more

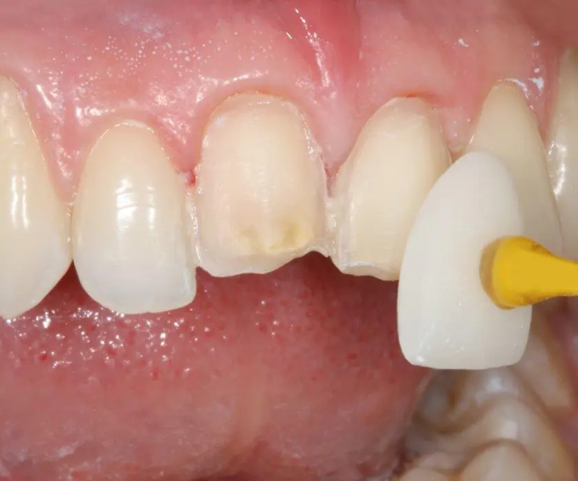
DENTAL VENEERS
Dental veneers are a prosthetic device, thin as eggshells, which are permanently placed on the front surface of a tooth and which change the appearance of your teeth and smile.
Learn more













