Cystectomy

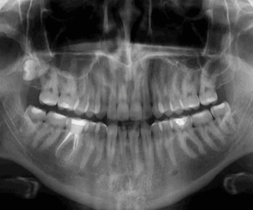
With a panoramic x-ray, the cause of the pain and swelling is visible very quickly, and the dentist will suggest the therapy during diagnostics.
Verify our expertise
Oral cysts are cavities covered with tissue and can appear in the jaw or the soft tissue (for example in the cheeks). Oral cysts occur because of a constant infection, which occurs on the top of the root. The teeth become infected most frequently due to poor oral hygiene or not treating cavities on time. Recently, genetic heritage has also been mentioned regarding oral cysts, along with other various hereditary syndromes.
It is very important to emphasize that the patient feels the first symptoms when the cyst is already in the acute condition and the pain begins. The symptoms of oral cysts are:
– Changes in the color of the tooth
– A large cavity which has not been treated
– A bump on the bone (jaw) above the tooth
– Fistula
– Pain, swelling, redness around the tooth
If one of the stated changes was diagnosed, it is necessary to remove the change as soon as possible, so it does not grow and spread to the neighboring teeth. Without treatment, the tooth structure could weaken, damage healthy teeth, spread to the sinuses and nose and cause great infections on the face.
Cystectomy is performed with local anesthesia, that means the procedure is completely painless for the patient. During the procedure, the oral surgeon completely removes the cyst, shortens the top of the root, and closes the root canal. If the cyst has spread to a larger part of the root, then it is necessary to remove the tooth and remove the cyst. Stitches are removed a week after the procedure.
1. After surgery, it is necessary to put a cold compress on the procedure location to reduce swelling 2. Taking painkillers recommended by dentists in the case of pain 3. Taking antibiotics to shorten the postoperative recovery 4. After 7 days, stitches are removed, and during all this time it is necessary to maintain maximum oral hygiene and brush around the wound with gentle movements to remove plaque 5. Gargling with sage tea, salt water, or an antiseptic 6. In the case of mild bleeding from the stitches, a damp bag of tea can be applied on them (black tea is recommended) 7. After the procedure, it is preferable to eat liquid food, hot drinks and hot food should be avoided 8. It is recommended to avoid smoking immediately after the procedure 9. It is recommended to avoid alcohol consumption












