Oralchirurgie
“Wenn wir über Oralchirurgie und Zahnimplantat-Einbau reden, gibt es Situationen, in denen die Kieferhöhle zu tief liegend ist, und folglich ein immediater Einbau von Zahnimplantaten nicht möglich ist. In einer solchen Situation wird die Anhebung des Kieferhöhlenbodens durchgeführt, der sogenannte Sinuslift.”
Erfahren Sie mehr
Der Zahnimplantate-Einbau ist jetzt, auch im Falle eines Knochenmangels, möglich! Kürzlich erschienen viele Innovationen in der dentalen Implantologie. Eine der wichtigsten Innovationen auf dem Gebiet der Implantologie ist das PRF-Protokoll, das die Knochenregeneration mit unserem Blut und Plasma ermöglicht.
Erfahren Sie mehr
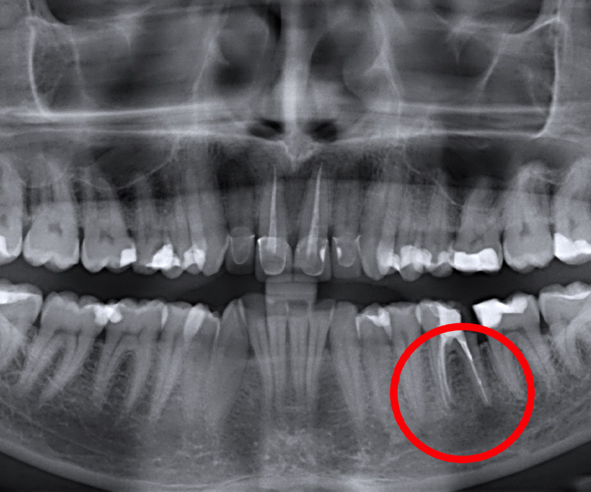
Die Apikotomie ist ein chirurgischer Eingiff der Mundchirurgie, wo die Spitze der Zahnwurzel (Apex), meist durch die chronischen Entzündungen oder den Bruch an der Spitze der Wurzel (Granulom oder Zyste) entfernt wird.Die Apikotomie wird unter Lokalanästhesie durchgeführt, was bedeutet, dass die Behandlung schmerzfrei ist. Im Zentrum für Zahnheilkunde Dr. Štimac führt der Apikotimie Eingriff Dr. med. dent. filip Štimac, Spezialist in der Mundchirurgie, durch.
Erfahren Sie mehr
Alveolotomie ist die chirurgische Entfernung des impaktierten und retinierten Weisheitszähne. Für einzelne Zähne kann das Wachsen verhindert werden, aber das bedeutet nicht dass die Entwicklung der Zähne angehalten ist. Die impaktierten und retinierten Zähne sind Zähne, die vollständig innerhalb des Knochens formiert wurden, aber sie haben nicht in ihrem Ort oder in jedem anderen Ort im oder aus dem Zahnbogen entstanden.
Erfahren Sie mehr
Zystektomie ist die Entfernung periapikaler Läsionen der Zähne bzw. Abszesse, Granulome und verschiedener Zysten.
Erfahren Sie mehr
Prüfen Sie unsere Fähigkeiten
Was sagen unsere Patienten über uns?
Erfahrung
Erfahrung
Wählen Sie Ihre Zahlungsart
Um Ihnen die Bezahlung Ihrer zahnärztlichen Behandlung zu erleichtern, gewähren wir Ihnen bei Barzahlung 5-15 % Rabatt.
















