Fallstudien
Fallstudien
Bei der Installation von Veneers und Kronen


Diese Patientin war mit Aussehen, Farbe und Form ihrer Zähne nicht zufrieden. Wir haben ästhetische und funktionelle Probleme mit Zähnen gelöst, indem wir hochwertige Zahnveneers und Zahnkronen installiert haben, die wir in unserem Labor herstellen. Erfahren Sie mehr über Prothetik in unserem Zentrum!Mehr erfahren ›
Der Fall von Implantaten, Brücken und Kronen


Eine effektive und dauerhafte Lösung für den Zahnmangel ist die Installation von Implantaten. So auch in diesem Fall, wo Zahnbrücken und Kronen auf Implantaten, aber auch auf gesunden Zähnen befestigt wurden. Auf diese schmerzlose Weise hat unsere Patientin ein neues Lächeln bekommen! Erfahren Sie mehr über die Implantatinsertion in unserem Zentrum!Mehr erfahren ›
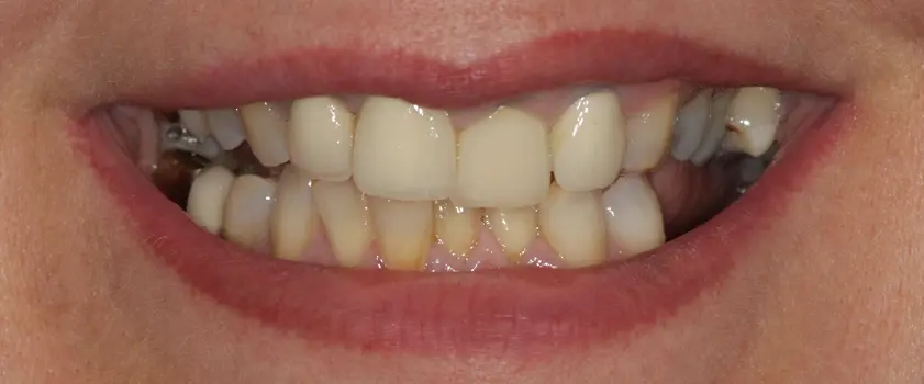
Bei der Installation von Veneers und Kronen


Eines der häufigsten ästhetischen Probleme bei Zähnen ist die Lücke zwischen den Zähnen. Wir haben es in diesem Fall mit Veneers und Zahnkronen gelöst. Keramische Zahnveneers, beliebte Veneers oder Veneers und Kronen werden in nur wenigen Besuchen schmerzfrei eingesetzt. Erfahren Sie mehr über Prothetik in unserem Zentrum! Learn more ›
Veneers and dental crowns installation


Sometimes teeth whitening alone is not the solution to get the desired tooth color. In those kind of cases it is recommended to install dental veneers. Veneers combined with zircon crowns effectively strengthen teeth, restore their functionality and give you the beautiful smile you dream of. Find out more about prosthetics in our centre!Learn more ›
Der Fall von Implantaten, Brücken und Kronen


Veneers aus Keramik gehören heute zu den gefragtesten ästhetischen Lösungen. Wie in diesem Fall gezeigt, erfordern sie ein minimales Beschleifen eines gesunden Zahns, die Installation ist schmerzfrei und erfordert nur wenige Besuche. Erfahren Sie mehr über die Installation von Waagen in unserem Zentrum!Mehr erfahren ›
Zahnkronen


Zahnkronen sind ein Implantat, das Form, Größe und Farbe natürlicher Zähne nachahmt, sie werden dauerhaft an eingebauten Zahnimplantaten oder geschwächten, beschädigten und ästhetisch schlechten Zahn angebracht. Das Hauptziel der Anwendung von Zahnkronen ist die Rückkehr verlorener Funktion des Zahns und seine Stärkung.
Erfahren Sie mehr ›
Zahnbrücken


Mangel einer, zwei oder mehrerer Zähne kann durch eine Zahnbrücke aus Zahnkronen ersetzt werden. Zahnbrücken sind eine oft antretende Lösung bei Leerstellen, die durch Zahnmangel verursacht sind, sie befriedigen Funktionalitätsmerkmale natürlicher Z¨hne, und sind eine langanhaltende ästhetische Lösung.
Erfahren Sie mehr ›
Zahnschalen – veneers


Eine der meist vorkommenden modernen Lösungen für die verbesserung der Ästhetik eines Lächelns ist die Anwendung von Keramikschalen. Ob Sie die Farbe, Größe oder Lage Ihrer Zähne ändern möchten, Schalen sind kleine Dinge, die große Unterschiede bewirken.
Erfahren Sie mehr ›
Zahnaufhellung


Eine schnelle, schmerzlose und effiziente Lösung für verdunkelte Zähne ohne Glanz ist Zahnaufhellung. Glanz und Weiße kehren schon nach 45 Minuten zurück, dank der völlig schmerzlosen Zoom-Lampe-Methode, die Zahnschmelz nicht beschädigt.
Erfahren Sie mehr ›
