Zystektomie

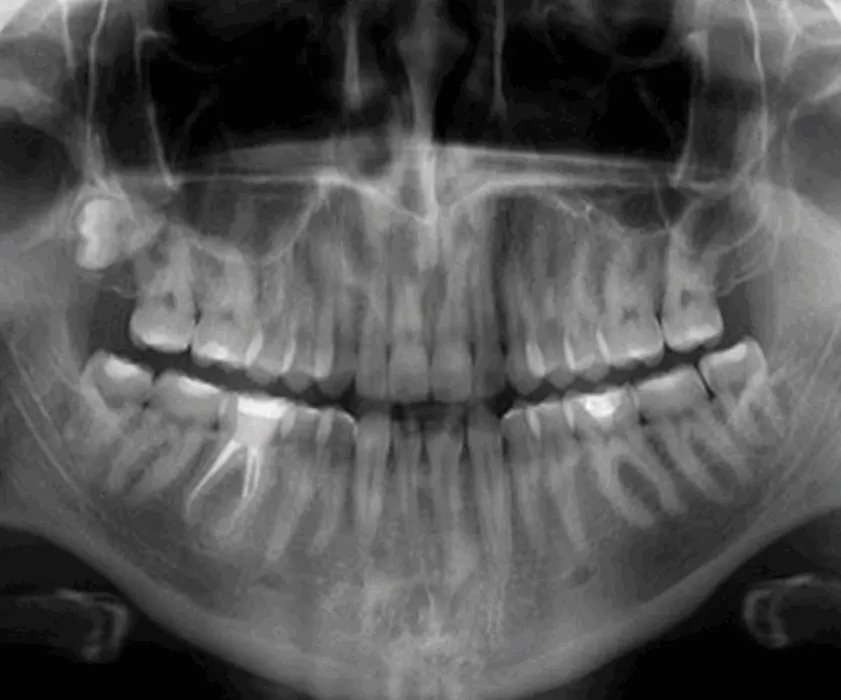
Mit der Panorama-Aufnahme kann der Zahnarzt sehr schnell die Ursache der Schmerzen und Schwellungen erkennen und, der Diagnose entsprechend, eine passende Behandlungsart vorschlagen.
In der stomatologischen Poliklink Štimac in Zagreb wird Ihnen Filip Štimac, Arzt in Facharztausbildung für Oralchirurgie, den Eingriff namens Zystektomie genau erklären, als auch erläutern, was Sie nach dem Eingriff erwarten können.
Prüfen Sie unsere Fähigkeiten
Zahnzysten sind mit Gewebe belegte Hohlräume, die in der Zahnkiefer oder im Weichgewebe auftreten können (z. B. in den Wangen). Zahnzysten entstehen als Folge einer ständigen Infektion, die an der Spitze der Wurzel erscheint. Infizierte Zähne treten in der Regel aufgrund der schlechten Mundhygiene oder aufgrund der nicht rechtzeitigen Behandlung von Karies auf. In letzter Zeit redet man auch von genetischer Vererbung, als der Ursache der Zahnzysten und verschiedenen angeborenen Syndrome.
Es ist sehr wichtig zu betonen, dass der Patient die ersten Symptome bereits spürt, wenn die Zyste im akuten Zustand ist und die Schmerzen beginnen.
Die Symptome von Zahnzysten sind:
– Verfärbungen der Zähne
– große Karies, die nicht behandelt wurde
– Auswuchs auf dem Knochen (Kiefer) über dem Zahn
– Fistel
– Schmerzen, Schwellung, Rötung um die Zähne
Wenn eine von diesen Veränderungen diagnostiziert wird, ist es notwendig, so rasch wie möglich, die Veränderung zu entfernen, um zu verhindern, dass sie weiter wachst und sich auf die anderen Zähne verbreitet. Wenn die Veränderung nicht behandelt wird, kann die Zahnstruktur abschwächen, den gesunden Zähnen schaden, Sinus und Nase beeinflussen und große Entzündungen auf dem Gesicht verursachen. Die Zystektomie wird unter örtlicher Betäubung durchgeführt, was bedeutet, dass die Operation für den Patienten völlig schmerzlos ist. Der Oralchirurg entfernt die Zyste vollständig, verkürzt die Wurzelspitze und schließt die Zahnkanäle während der Operation. Wenn die Zyste einen größeren Teil der Wurzel angegriffen hat, dann ist es notwendig, den Zahn zu extrahieren und die Zyste zu entfernen. Eine Woche nach der Operation werden die Nähte entfernt.
01. Nach dem Eingriff ist es notwendig eine kalte Kompresse auf der Stelle des Eingriffs zu setzen, um Schwellungen zu reduzieren; 02. Im Fall von Schmerzen soll man ein Schmerzmittel, das von einem Zahnarzt empfohlen wird, nehmen; 03. Einnahme von Antibiotika, um die postoperative Erholung zu verkürzen; 04. Nach 7 Tagen werden die Fäden gezogen, und die ganze Zeit ist es notwendig die maximale Mundhygiene zu halten und rundherum die Wunde mit sanften Bewegungen zu bürsten um Zahnbelag zu entfernen; 05. Den Mund mit dem Salbeitee, Salzwasser oder Antiseptikum spülen; 06. Im Fall der milden Blutung aus den Nähten kann eine Tüte Tee auf sie gelegt werden (Empfehlung – schwarzer Tee); 07. Nach dem Eingriff ist es empfohlen die flüssige Nahrung zu sich nehmen, und man sollte die warme Getränke und warme Speisen vermeiden; 08. Es wird empfohlen das Rauchen sofort nach dem Eingriff zu vermeiden; 09. Es wird empfohlen den Alkoholkonsum zu vermeiden.












