Precise Diagnostics in the Clinic Are the Guarantee of Successful Therapy
Precise Diagnostics in the Clinic Are the Guarantee of Successful Therapy
We are happy to share our knowledge with you and through expert advice we want to educate you about the importance of oral health care and the possibilities that modern dentistry offers you at our center. Get in touch with us on +385 1 4059 749 or you can reach us on our free UK number at +44 800 08 68 414. You can also email us at info@drstimac.com.
Some things still cannot be done online. Diagnostics is one of them. Although patients regularly ask us for opinions on a wide range of dental situations via email and social media, we always first refer them to an in-person examination at our clinic. An individual approach to every patient is one of the defining features of our center, and true individual care is not possible without an in-person examination and conversation about the problem.
Services may be universal, but…
Every dental situation is specific. Just as we are all unique individuals, it is logical that each person’s dental situation is different. For this reason, we never determine therapy “blindly” and always insist on prior in-clinic diagnostics.

Descriptions of problems may be inaccurate, and photos can sometimes hide more problems than they reveal. By coming in for an examination, you are taking the first active step toward improving your dental health. After the initial examination and a conversation about your dental concerns, we move on to the phase of professional diagnosis.
Precise diagnostics and a clearly defined treatment plan are the key to success and the guarantee that your smile will turn out exactly as you imagined. This is the phase to which we devote the greatest attention. That is why diagnostics are performed by our most experienced diagnosticians. Sometimes what a patient wants is one thing, but the real situation is different and requires an approach and therapy the patient may not have expected. Even today, after so many years of work, we still encounter cases so specific that they cannot be compared to any previous one.
Although we know that in today’s pace of life fewer people want to go from clinic to clinic and hear multiple opinions, it is very difficult to give prices and recommendations based on another expert’s diagnostics. Diagnostics are the foundation—and a special area of expertise in dental medicine that we are extremely proud of in our clinic—so we want all our future patients to receive the full scope of our service.
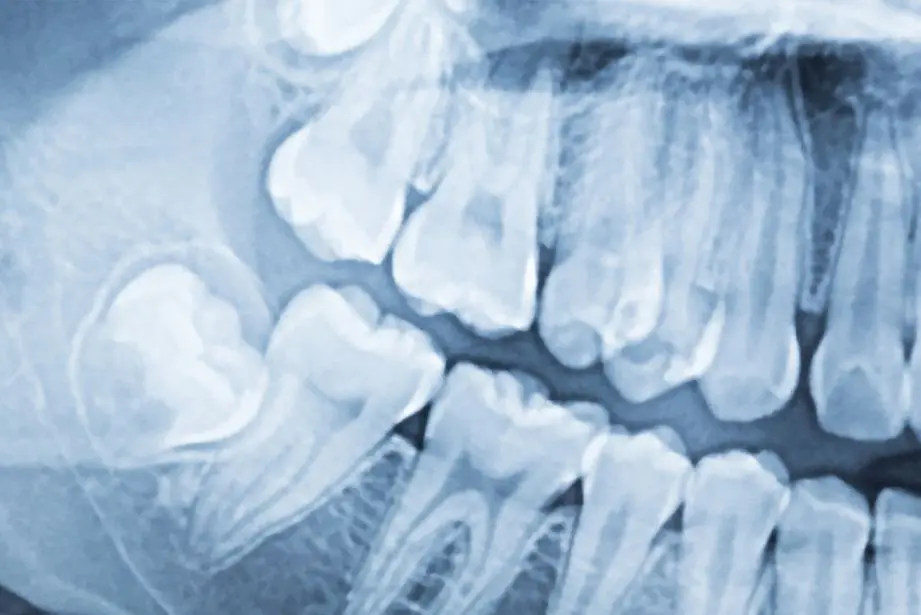
Why do you need an X-ray and/or CT scan?
Sometimes an examination of the oral cavity alone does not tell us everything we need to know. What is visible to the eye can often be misleading, while the real problem may be hidden beneath the gum line, deep inside the tooth structures, or in the jawbone itself.
2D and 3D radiographic diagnostics leave no room for incorrect assessment and provide a true picture of the patient’s dental condition.

An orthopantomogram, or panoramic dental X-ray, is a panoramic image of the teeth that shows the current condition of the oral cavity and is taken before any dental procedure. Panoramic X-rays and CT scans are especially important when planning implant procedures and surgery in general.
Despite its importance in diagnostics, a common reason patients hesitate to get a panoramic X-ray is fear of radiation. These are outdated fears dating back to times when less advanced equipment and inappropriate radiation doses were used. With today’s dental X-rays, the amount of radiation is negligible. We would never refer you for an X-ray if we believed you were in any danger from such exposure.

Almost in the blink of an eye
If you do not already have a scan that is less than one year old, all radiographic imaging can be done quickly and easily at our center during your first appointment. A digital panoramic X-ray, RVG scan (single-tooth X-ray), and CT scan are ready within 5 to 10 minutes. Afterward, you will receive your images on a CD that you can take with you. This fully digitalized way of working and taking dental X-rays allows us to provide fast and high-quality service to all our patients. So, when you sit in our chair, you already have all the necessary conditions for receiving the right professional advice and treatment proposal for your new smile.
We are equally proud of our technology and the expertise of our staff
Although the whole world—including medicine—is moving toward complete digitalization, especially in dentistry and dental technology, one hundred percent accurate remote diagnostics is still not applicable in healthcare.There is also that “X factor”: the feeling of relief, followed by trust, that arises when you talk about your problems with a qualified professional face to face. When you are met with understanding, without judgment and without barriers to solving the issue. That is something robots will not be able to replace for a very long time.
We are here to support you and improve your quality of life by solving the underlying issues related to your dental health. That is why you should book your free first examination at our center today.



