Teeth
whitening
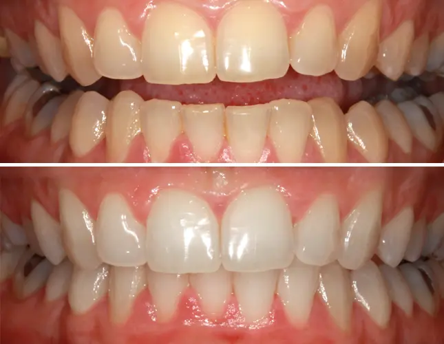
Results › 
WHY WHITEN YOUR TEETH?
Teeth whitening is a non-invasive procedure which, as the name says, brings brighter and whiter teeth to a patient. A bright smile has always attracted the attention of other people. Today, a growing number of people want to have a bright white smile because they are not satisfied with the color of their teeth.
Verify our expertise
Procedure description

IS TEETH WHITENING SAFE?
Teeth whitening is a pleasant, completely painless procedure and DOES NOT HARM the tooth substance. Whitening is carried out exclusively in the dental practice under the control of the dentist. Numerous studies and testing about the harmfulness have been conducted, and whitening is considered to be a routine manner without causing any harmful consequences on the teeth. Teeth whitening is a very common procedure today and all age groups are coming to this treatment.
In our center we offer bleaching splints. This is very popular today and the so-called. a home whitening method that gives excellent whitening results. After arriving at our center and taking an impression, your splints can be finished within 24 hours. A special gel is placed in them which emphasizes the whiteness of the teeth. They should be worn for 4-5 hours continuously, depending on the case and the recommendations. You can use this method on its own or after teeth whitening with a zoom lamp to get that almost crystal white smile. Teeth whitening splints are a completely painless treatment. They have no harmful effects on your teeth.
Book now

In the case of devitalized tooth (extracted tooth nerve), tooth darkens over time and thereby impairs the appearance. In this case, it is possible to make a single tooth whitening or internal whitening, which achieves renewed harmony of the dental arch. Internal whitening means that a gel is injected within the chamber of the tooth, which enters dentine tubules and whitens the tooth structure from the inside. In this way it returns the natural color of the tooth, which had been darkened and ruined the esthetic dental arch. This process must be repeated in order to achieve lasting results, and how many times it must be repeated is mostly individual from case to case. In our past experience, the process of internal whitening should be repeated mostly every year and a half up to two.

- The first step is to thoroughly clean your teeth. You can trust our dentists with confidence to remove bacteria, food and other substances that accumulate on your teeth and diminish their beauty and whiteness. Once the teeth are thoroughly cleaned, they are ready for the whitening process.
- We use individualized splints for whitening, so we will take an impression of your teeth in this step. We make your splints in our laboratory and they can be finished in just 24 hours.
- A special gel is placed in the splints to emphasize the whiteness of the teeth. The splints are worn for 4-5 hours continuously (depending on the case), during the course od a few days. You will receive all instructions and advice on wearing splints from our doctors.

What our patients say about us?
Experience
Experience
Choose your payment method
In order to make paying for your dental procedure easier, we offer a 5% to 15% discount for paying in cash.


















