Zubotehnički laboratorij
Zubotehnički laboratorij
SUVREMENE TEHNOLOGIJE U IZRADI ZUBI
Naš zubotehnički laboratorij je opskrbljen suvremenim tehnologijama i sistemima koji se koriste u izradi protetskih nadomjestaka kao što su: Amann Girrbach glodalica, glodalica Sirona inlab, program Exocad i Sirona za dizajniranje zubi, program Cerec i Primescan za digitalno otiskivanje zubi i mnogi drugi. U laboratoriju se koriste vrhunski materijali i pokrivene su sve usluge u fiksnoj i mobilnoj protetici kao i implantologiji tako da pacijenti mogu imati puno povjerenje u rad i garanciju protetskih nadomjestaka dobivenih iz našeg laboratorija.
Pokažite više Pokažite manjeSvakim danom tehničari istražuju i implementiraju najnovije sisteme za izradu protetskih radova kako bi pacijenti imali najbolju kvalitetu i kako bi se održao vrhunski nivo protetskih radova Štimac centra dentalne medicine.
Pokažite više Pokažite manjeProvjerite našu stručnost

CAD-CAM TEHNOLOGIJA
Jedan od takvih sistema je i CAD-CAM tehnologija ili CAD-CAM revolucija u dentalnoj medicini, sistem kompjutorskog dizajniranja zubi u samo nekoliko koraka. CAD-CAM tehnologiju karakteriziraju virtualno i brzo dizajniranje osmijeha što omogućuje izradu jedinstvenog nadomjestka savršene prirodnosti, boje i transparentnosti koja ispunjava očekivanja i najzahtjevnijeg pacijenta.
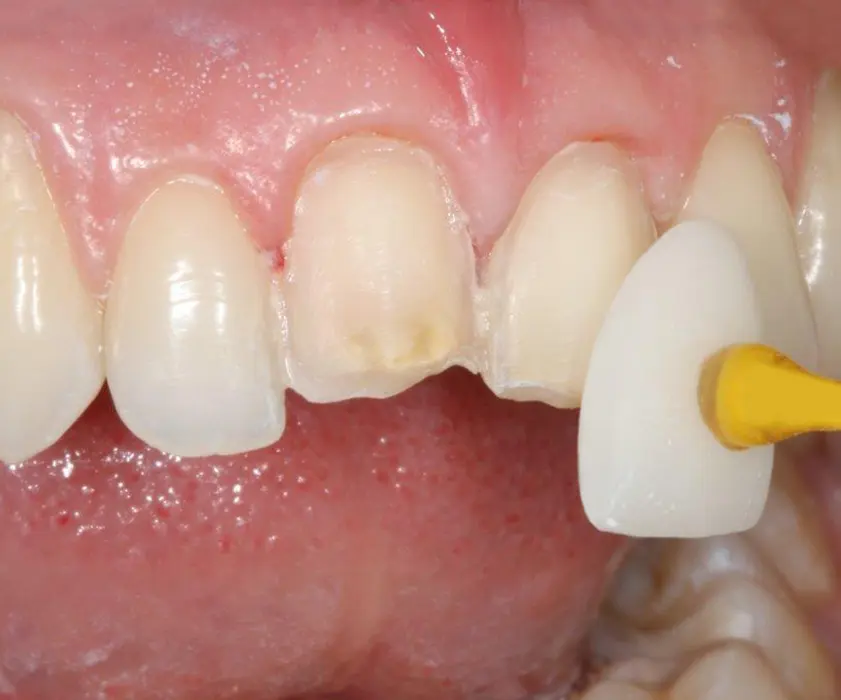
ZUBNE KRUNICE
Zubne krunice (zubne navlake) su protetski nadomjestak koji imitira oblik, veličinu i boju zuba te se trajno fiksiraju na zubni implantat ili izbrušen zub. Saznajte više

LJUSKICE ZA ZUBE
Zubne ljuskice su tanak transparentni nadomjestak u obliku ljuske, po kojoj su dobile i naziv, koji se lijepi na prednju površinu zuba i time se u potpunosti stapa s prirodnim zubom.
Saznajte više













