Apikotomija
- kirurško odstranjenje
vrška korijena
KAKO TEČE ZAHVAT?
Zahvat kreće tako da se zubno meso zareže i podigne kako bi se došlo do korijena zuba. Zahvatom se uklanja vrh korijena zuba s upalnim procesom, a nakon toga se korijen kanala zuba puni različitim smjesama i materijalima koji su za to predviđeni. Ovisno o individualnom slučaju pacijenta, zub se endodontski može tretirati (čišćenje i širenje kanala zuba, te njegovo punjenje) prije samog zahvata ili za vrijeme zahvata.
Provjerite našu stručnost
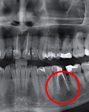
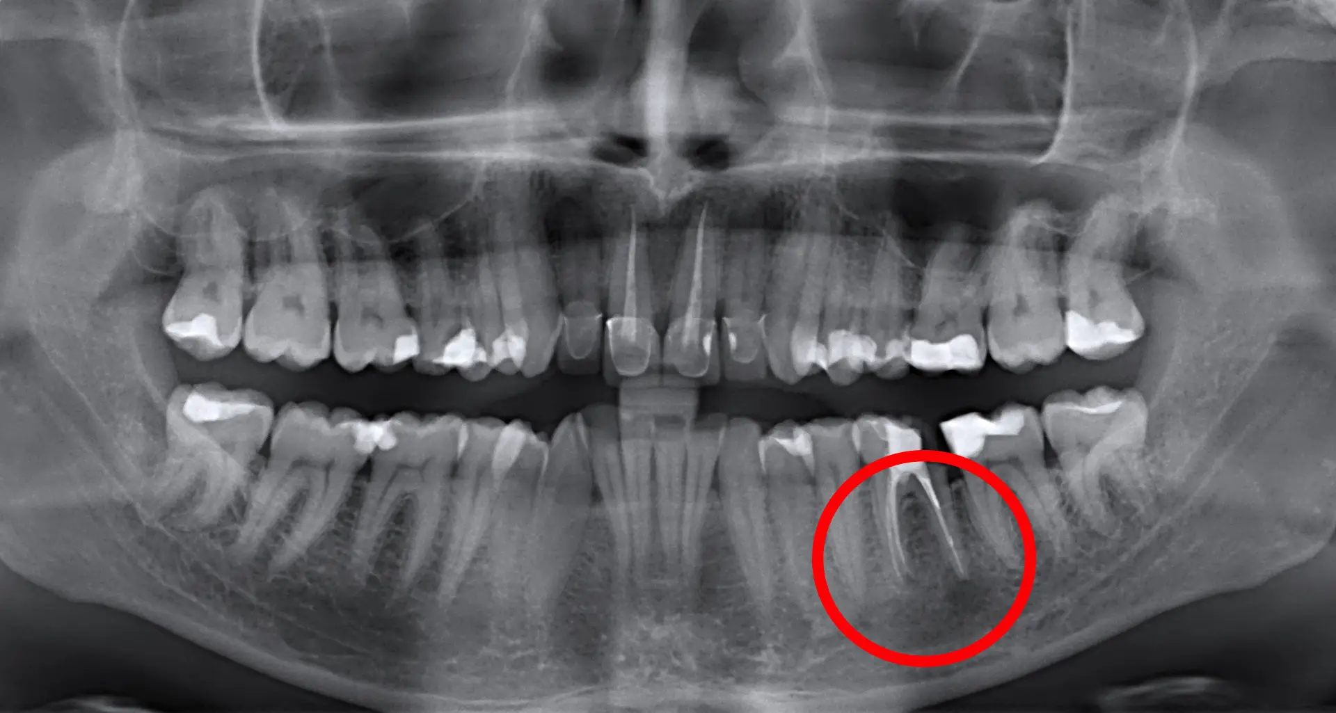
Ako osjećate bol ili oticanje zuba koji je već endodontski liječen, potrebno je zatražiti pomoć stomatologa. Stomatolog će u tom slučaju učiniti RTG snimku tog područja (zuba i okolne kosti) i klinički pregled kako bi se odlučilo je li potrebno napraviti apikotomiju. Korijenski kanali su vrlo složeni, naročito oko vrha korijena. Ponekad nakon endodontskog zahvata zaostane infektivnog debrisa unutar ogranaka kanala. To može dovesti do kasnije reinfekcije i potrebe za apikotomijom. Kod apikotomije se uklanja vrh korijena s upalnim i inficiranim tkivom i punjenjem kanala zapečaćuje se vrh korijena.
Apikotomija je danas sve češći zahvat jer omogućuje pacijentima očuvanje zuba koji se ne mogu izliječiti endodontskom terapijom i koji bi se inače morali izvaditi. Smatra se malim kirurškim zahvatom, a traje od 30 do 60 minuta, ovisno o kojoj regiji i zubu se radi. Zahvati na prednjim zubima su u pravilu kraći, dok su na donjim kutnjacima najdulji.
1. Nakon operativnog zahvata potrebno je stavljanje hladnih obloga na mjesto zahvata radi smanjenja otekline
2. U slučaju bolova uzimanje analgetika po preporuci stomatologa
3. Uzimanje antibiotika kako bi se skratio postoperativni oporavak
4. Nakon 7 dana skidaju se konci, a sve to vrijeme potrebno je maksimalno održavanje oralne higijene i četkanje oko rane nježnim pokretima radi uklanjanja naslaga
5. Ispiranje usne šupljine čajem od kadulje, slanom vodom ili antiseptikom
6. U slučaju blagog krvarenja iz šavova može se na njih primijeniti vlažna vrećica nekog čaja (preporuka crnog čaja)
7. Nakon samog zahvata, poželjno je jesti tekuću hranu, a pritom treba izbjegavati vruće napitke i vruću hranu
8. Preporučuje se izbjegavati pušenje neposredno nakon zahvata
9. Preporučuje se izbjegavati konzumaciju alkohola
Zašto odabrati Štimac centar dentalne medicine?
- Potpuna rendgenska dijagnostika na jednom mjestu
- Preko 20.000 ugrađenih zubnih implantata
- Specijalist oralne kirurgije s višegodišnjim iskustvom
- 3 godina garancije na konstrukciju protetskog dijela nadogradnje na zubnom implantatu
- Preko 50.000 zadovoljnih pacijenata
- Certifikat implantološke akademije – edukativni centar za ugradnju Bego implantata
- Renomirani zubni implantat s 99% uspješnosti ugradnje implantata
- Individualan pristup svakome pacijentu












