Studije slučaja

Studije slučaja

Slučaj ugradnje ljuskica i krunica



Ova pacijentica nije bila zadovoljna izgledom, bojom i oblikom svojih zubi. Estetske, ali i funkcionalne probleme sa zubima riješili smo ugradnjom premium zubnih ljuskica i zubnih krunica koje izrađujemo u našem laboratoriju. Saznajte više o protetici u našem centru!Saznajte više ›
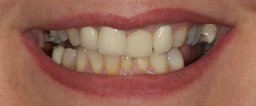
Slučaj ugradnje implantata, mostova i krunica



Efikasno i trajno rješenje za nedostatak zubi je ugradnja implantata. Tako je bilo i u ovom slučaju gdje su zubni mostovi i krunice fiksirani na implantate, ali i na zdrave zube. Na ovaj bezbolan način naš pacijent je dobio nov osmijeh! Saznajte više o ugradnji implantata u našem centru!Saznajte više ›
Slučaj ugradnje ljuskica i krunica



Jedan od čestih estetskih problema sa zubima je razmak između zubi. Njega smo u ovom slučaju riješili ljuskicama i krunicama za zube. Keramičke zubne ljuskice, popularni veneers ili viniri, i krunice ugrađuju se bez boli u samo par dolazaka. Saznajte više o protetici u našem centru!Saznajte više ›
Slučaj ugradnje ljuskica i krunica



Katkada samo izbjeljivanje nije rješenje za dobivanje željene boje zuba pa se preporuča ugradnja ljuskica za zube. Ljuskice u kombinaciji s cirkonskim krunicama učinkovito učvršćuju zube, vraćaju njihovu funkcionalnost i daju predivan osmijeh o kojem sanjate. Saznajte više o protetici u našem centru!Saznajte više ›
Slučaj ugradnje ljuskica



Keramičke ljuskice za zube jedno su od najtraženijih estetskih rješenja danas. Kako je prikazano u ovom slučaju, zahtijevaju minimalno brušenje zdravog zuba, ugradnja je bezbolna i zahtjeva tek nekoliko dolazaka. Saznajte više o ugradnji ljuskica u našem centru!Saznajte više ›
IMPLANTATI


Zubni implantati su lijepi i funkcionalni poput pravih zubi, a daju vam priliku i da sačuvate svoje zdrave zube. Ako ste izgubili zube ili su vam u lošem zdravstvenom stanju, iznenadit ćete se koliko će vas ugradnja implantata transformirati i vratiti samopouzdani osmijeh na lice. Saznajte više ›
ORTODONTSKA TERAPIJA


ClearCorrect aligneri su prozirni aparatići jednostavni za rukovanje. Vrlo su ugodni unatoč tome što ih nosite cijeli dan, a skidate samo prilikom jela. Oni učinkovito rješavaju manje ortodontske anomalije, poput razmaka između zuba, zbijenost i preklapanja zubi.Saznajte više ›
ORTODONTSKA TERAPIJA


Preklapanje zubi česti je estetski problem koji se učinkovito može riješiti ClearCorrect prozirnim alignerima. Svi koji žele postaviti zube u pravilan zubni niz dobri su kandidati za prozirni aparatić. S terapijom je moguće krenuti u tinejdžerskim godinama, jednako kao i u kasnijoj dobi.Saznajte više ›
ZUBNE KRUNICE


Zubne krunice su nadomjestak koji imitira oblik, veličinu i boju prirodnog zuba te se trajno fiksira na ugrađene zubne implantate ili na prirodni zub koji je oslabljen, oštećen ili estetski loš. Glavni cilj krunica je povratak izgubljene funkcije zuba i jačanje zuba.Saznajte više ›
ZUBNI MOSTOVI


Nedostatak jednog, dva ili više zubi moguće je nadomjestiti zubnim mostom koji se sastoji od zubnih krunica. Zubni mostovi su često rješenje pri popunjavanju praznina koje su uzrokovane nedostatkom zubi, zadovoljavaju funkcionalnosti prirodnih zuba, a ujedno su i dugoročno estetsko rješenje.Saznajte više ›
PORCULANSKE LJUSKICE ZA ZUBE


Jedan od najčešćih načina suvremenih poboljšanja estetike osmijeha je postavljanje keramičkih ljuskica. Bilo da želite promijeniti boju, oblik, veličinu ili položaj zuba, ljuskice su male stvari koje će za vas napraviti veliku razliku.Saznajte više ›
IZBJELJIVANJE ZUBI


Brzo, bezbolno i učinkovito rješenje za potamnjele zube bez sjaja je izbjeljivanje zubi. Sjaj i bjelinu svojim zubima možete vratiti u samo 45 minuta potpuno bezbolnom metodom zoom lampom koja ne oštećuje zubnu caklinu.Saznajte više ›