Precizna dijagnostika u ordinaciji garancija je uspješnosti vaše terapije
Precizna dijagnostika u ordinaciji garancija je uspješnosti vaše terapije
S vama rado dijelimo naše znanje i kroz stručne savjete vas želimo educirati o važnosti brige o oralnom zdravlju i mogućnostima koje vam moderna stomatologija nudi u našem centru. Za sve ostale informacije uvijek nam se možete obratiti na email info@drstimac.com ili nas nazvati na +385 1 36 33 602
Neke stvari se i dalje ne mogu raditi online. Dijagnostika je jedna od njih i iako nas pacijenti redovito putem maila i društvenih mreža traže mišljenje za najrazličitije dentalne situacije, uvijek ih prvenstveno upućujemo na pregled kod nas. Individualni pristup svakom pacijentu karakteristika je našeg centra koju s ponosom ističemo, a on nije istinski moguć bez pregleda i razgovora o problemima uživo.
Usluge jesu univerzalne, ali…
Svaka je dentalna situacija specifična. Kako smo svi individualna bića tako je logično da se i dentalna situacija svake osobe razlikuje. Iz tog razloga terapiju ne određujemo “na slijepo” i uvijek inzistiramo na prethodnoj dijagnostici u ordinaciji. Opisi problema mogu biti krivi, a fotografije ponekad mogu skrivati više problema nego ih otkrivaju.

Dolaskom na pregled radite prvi aktivni korak u smjeru vašeg dentalnog zdravlja. Nakon inicijalnog pregleda i razgovora s vama o vašim dentalnim problemima, prelazimo na fazu stručne dijagnostike tih problema.
Precizna dijagnostika i dobro definiran plan terapije ključ su uspjeha i garancija da će osmijeh ispasti onakvim ste ga zamislili. Ovoj fazi pridajemo najveću pažnju. Zato dijagnostiku obavljaju naši najiskusniji dijagnostičari. Ponekad su želje jedno, ali realna slika je drugačija i zahtjeva pristup i terapiju koju pacijent možda i nije očekivao. Čak i danas, nakon toliko godina rada, znamo naići na situaciju koja je toliko specifična da ju je nemoguće usporediti s bilo kojom prethodnom.
Iako znamo da u današnjem tempu života sve manje osoba želi šetati od klinike do klinike i čuti više mišljenja, jako je teško davati cijene i informacije na temelju dijagnostike drugog stručnjaka. Dijagnostika je temelj i jedna posebna specijalnost u dentalnoj medicine s kojom se jako ponosimo kod nas u klinici pa samim time želimo i svim našim budućim pacijentima pružiti puni opseg naše usluge.
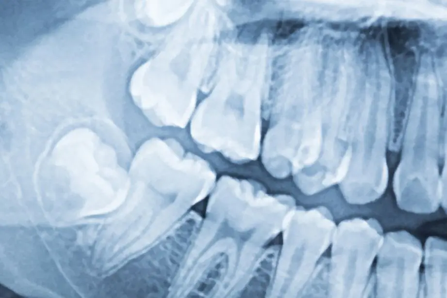
Zašto vam je potrebna rendgenska i/ili CT snimka?
Nekad nam sami pregled usne šupljine ne govori sve što trebamo znati. Često ono što je oku vidljivo zna zavarati, a pravi problem se može kriti i ispod zubnog mesa, duboko u zubnim stukturama, ili u samoj zubnoj čeljusti. 2D i 3D rendgenska dijagnostika ne ostavljaju prostora krivim procjenama i daju pravu sliku dentalnog stanja pacijenta.
Ortopan ili rendgenska snimka zubi je panoramska slika zubi koja pokazuje trenutačno stanje usne šupljine i koja se radi prije bilo kojeg stomatološkog zahvata. Ortopan i CT snimka posebno su bitni kod planiranja implantoloških zahvata i općenito kirurgije.

Bez obzira na njegovu veliku važnost u dijagnostici, čest razlog za oklijevanje kod pacijenata kad je riječ o snimanju ortopana zna biti strah od zračenja. Riječ je o zastarjelim strahovima, koji potječu iz vremena kad su se upotrebljavali tehnološki manje napredni uređaji i neodgovarajuća količina zračenja. Pri snimanju današnjih rendgena zubi riječ je o zanemarivoj količini zračenja. Ne bismo inače upućivali na rendgen da mislimo da ste u ikakvoj opasnosti od eventualnih posljedica takvog zračenja.
Uz ortopan, CT, točnije računalno navođena tehnologija u današnje se vrijeme postavila kao neophodna metoda dijagnostike. Ona svojim mogućnostima rekonstrukcije slike podiže kvalitetu i preciznost rada. CBCT snimka našim stručnjacima omogućava provjeru gustoće kostiju što je glavni preduvjet za ugradnju implantata.

Gotovo u tren oka
U slučaju da nemate svoju snimku koja nije starija od godinu dana, sve rendgenske snimke mogu se brzo i jednostavno napraviti i u našem centru, pri dolasku na prvi pregled. Digitalni ortopan, RVG snimka (snimka jednog zuba) i CT snimka gotovi su za 5 do 10 minuta. Vašu ćete snimku nakon toga dobiti na CD-u koji možete ponijeti sa sobom. Ovaj potpuno digitalizirani način rada i uzimanja rendgenskih snimaka donosi brzu i kvalitetnu uslugu svim našim pacijentima. Kad sjedate za naš stolac, dakle, imate sve potrebne preduvjete za dobivanje pravog stručnog savjeta i prijedloga terapije za dobivanje svog novog osmijeha.
Ponosimo se jednako i svojim tehnološkim dostignućima kao i stručnošću našeg osoblja
Iako cijeli svijet pa tako i medicina teže potpunoj digitalizaciji, pogotovo u stomatologiji i dentalnoj tehnici, sto postotno precizna dijagnostika na daljinu i dalje nije primjenjiva u zdravstvu. Uz to, računajte i na onaj faktor X, a to je osjećaj olakšanja i zatim povjerenja u vama kad razgovarate o svojim problemima sa stručnom osobom uživo. Kad nailazite na razumijevanje za njih, bez osude i stvaranja prepreka za rješavanje istih. A to je nešto što roboti još dugo, dugo vremena neće moći zamijeniti.
Tu smo da vam dajemo podršku i širimo mogućnosti kvalitete vašeg života rješavanjem osnovnih problema vezanih uz dentalno zdravlje. Zato se već danas naručite na besplatan prvi pregled u našem centru!



