Izbjeljivanje
zubi
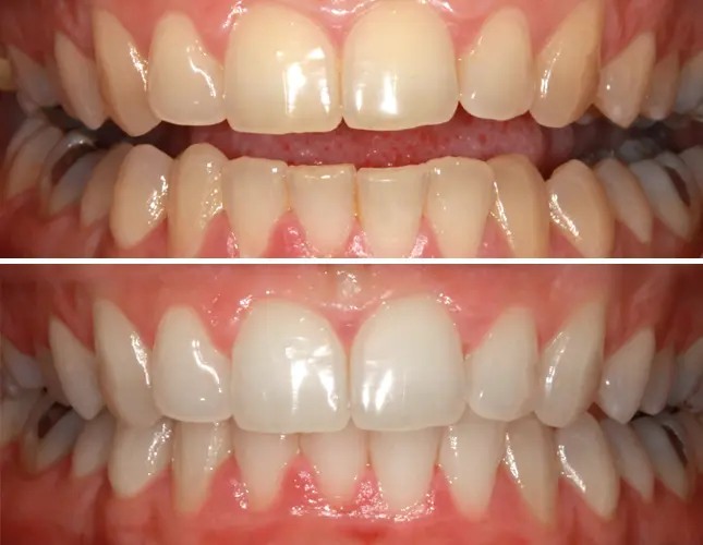
Opis zahvata › 
ZAŠTO VAM TREBA IZBJELJIVANJE ZUBI?
Svatko od nas je različit. Kako se s godinama mijenja izgled kože, tako se mijenja i izgled naših zubi. Vrlo malo ljudi ima holivudski bijele zube, a naši zubi mijenjaju boju kako starimo. Nažalost, s godinama ne postaju svjetliji.
Jedna od stvari koje mogu utjecati na boju zuba je i kamenac. Neki ljudi mogu imati mrlje ispod površine zubi koje uzrokuju određeni antibiotici ili sitne pukotine u zubima. I problemi sa zubima mogu utjecati na boju zubi.
Provjerite našu stručnost
Opis zahvata
Saznajte cijenu izbjeljivanja zubi
U našem centru vam nudimo izradu udlaga za izbjeljivanje. Ovo je danas vrlo popularna i tzv. metoda kućnog izbjeljivanja koja daje izvrsne rezultate izbjeljivanja. Udlage, nakon dolaska u naš centar i uzimanja otiska, mogu biti gotove unutar 24 sata. U njih se stavlja poseban gel koji naglašava bjelinu zubi, a one se ovisno o slučaju i preporukama nose 4-5 sati u kontinuitetu pa ih je najbolje nositi preko noći.
Ovu metodu možete koristiti kao samostalnu ili nakon izbjeljivanja zubi zoom lampom kako biste dobili onaj gotovo kristalno bijeli osmijeh. Udlage za izbjeljivanje zubi su potpuno bezbolan tretman koji ne izaziva apsolutno nikakve štetne posljedice na zube.

Prema našem iskustvu i brojnim istraživanjima, izbjeljivanje zoom lampom, odnosno "hladnim svjetlom" daje vrlo dobre rezultate izbjeljivanja. Ova je metoda u potpunosti sigurna jer je kontrolirana od strane naših stručnjaka za razliku od raznih alternativnih metoda. Izbjeljivanje zoom lampom se provodi u jednoj posjeti gelom koji kemijski djeluje na površinu zuba. Njegovom aktivacijom na bazi hidrogen peroksida mijenja se boja zuba za nekoliko nijansi.
U svega 45 minuta svojim zubima možete vratiti sjaj i bjelinu na koju ćete biti ponosni. Potpuno bezbolna metoda zoom lampom ne oštećuje zubnu caklinu. Uz kontroliran rad stručnjaka i prekrasan osmijeh jačate svoje samopouzdanje.

U slučaju devitaliziranog zuba (zuba kojem je izvađen zubni živac), taj zub tijekom vremena potamni i time narušava vaš izgled i blistav osmijeh. U tom slučaju, moguće je napraviti izbjeljivanje samo jednog zuba ili interno izbjeljivanje. Time se postiže ponovni sklad zubnog niza i ujednačen izgled i boja zubi. Interno izbjeljivanje se izvodi tako da se unutar komorice zuba ubrizgava gel za izbjeljivanje koji ulazi u dentinske tubule i iznutra izbjeljuje strukturu zuba. Tako se vraća prirodna boja tamnijeg zuba koji kvari estetiku zubnog niza. Bit će potrebno ponoviti postupak kako biste postigli što trajnije rezultate. Koliko puta se mora ponavljati uglavnom ovisi od slučaja do slučaja. Prema dosadašnjem iskustvu, postupak internog izbjeljivanja treba ponavljati svakih godinu i pol do dvije.

Je li izbjeljivanje sigurno za zube?
Na temelju dugogodišnjeg iskustva možemo reći kako je izbjeljivanje ugodan, potpuno bezbolan i siguran postupak. Provodi se pod kontrolom liječnika dentalne medicine, a strogo ga kontrolira i svjetska stomatološka organizacija. Na temelju brojnih istraživanja i testiranja, izbjeljivanje zubi se smatra postupkom koji ne izaziva štetne posljedice.
U kratkom roku postići ćete željene rezultate i vratiti bjelinu svojim zubima. Većina pacijenata izbjeljivanje zubi smatra ugodnim i bezbolnim postupkom. Važno je napomenuti kako izbjeljivanje ne oštećuje zubnu caklinu i nije nimalo štetno za zube. Pod nadzorom naših liječnika dentalne medicine, na izbjeljivanje zubi se odlučuju ljudi svih životnih dobi.

IZBJELJIVANJEM ZUBI DO BLISTAVOG OSMIJEHA
U samo nekoliko koraka i pod kontrolom stomatologa možete imati do nekoliko nijansi svjetlije zube. Savršeni osmijeh danas je lako postići uz stomatologa kojem vjerujete. Lijepi, bijeli zubi i blistav osmijeh utječu na samopouzdanje i omogućuju vam veće uživanje u životu. Blistav osmijeh i lijepi zubi oduvijek privlače pažnju i prvo je što drugi uoče na nama. Nažalost, zubi s godinama gube sjaj. Naši zubi su sjajni i bijeli zbog cakline, a današnji način života utječe na trošenje cakline koja postaje sve tanja. Tamnija boja dolazi do izražaja i zubi postaju osjetljiviji na hranu i napitke tamne boje.
Naši stručnjaci


Na bjelinu zubi utječe razina oralne higijene i namirnice koje konzumirate, kao što su kava i crno vino, cigarete, antibiotici i različiti lijekovi. Za vas smo pripremili upitnik na temelju kojeg ćete saznati možete li promijeniti svoje navike oralne higijene kako biste imali bijele zube ili vam je potrebno izbjeljivanje kod stomatologa.
Zašto odabrati Štimac centar dentalne medicine?
- Potpuna rendgenska dijagnostika na jednom mjestu
- Preko 20.000 ugrađenih zubnih implantata
- Specijalist oralne kirurgije s višegodišnjim iskustvom
- 3 godina garancije na konstrukciju protetskog dijela nadogradnje na zubnom implantatu
- Preko 30.000 zadovoljnih pacijenata
- Certifikat implantološke akademije – edukativni centar za ugradnju Bego implantata
- Renomirani zubni implantat s 99% uspješnosti ugradnje implantata
- Individualan pristup svakome pacijentu
Što naši pacijenti kažu o nama?
Iskustvo
Iskustvo
Želite li i vi imati predivan i blistav osmijeh u kratkom roku? Odlučite se za naše stručnjake koji će vam pomoći da ponovno uživate u svom osmijehu. Rezervirajte svoj termin za pregled i konzultacije.
Izaberite način plaćanja
Kako bismo vam olakšali financiranje vašeg stomatološkog zahvata, odobravamo vam 5 do 15% popusta na gotovinsko plaćanje ovisno o količini radova i visini vaše ponude. Također, osim plaćanja gotovinom, nudimo vam i mogućnost plaćanja Maesto, Master card, Visa i Visa Premium karticama do 24 rate bez kamata.


















