Oralna kirurgija
Opis zahvata ›
ŠTO JE ORALNA KIRURGIJA?
U slučaju da vam vaša dijagnoza nalaže kirurški zahvat u području usne šupljine uslijed raznih anomalija, defekata, bolesti, estetskih i funkcionalnih poremećaja ili bilo kakvih drugih neuobičajenih stanja, koja vam otežavaju svakodnevne funkcije ili uzrokuje bolove i druge smetnje, rješenje će vam se pružiti u području oralne kirurgije.
Pokažite više Pokažite manjeŠtimac centar dentalne medicine u sklopu svog odjela oralne kirurgije pokriva sve situacije za koja će vam stomatolog dijagnostičar savjetovati kirurški zahvat te vam pruža potpunu uslugu na jednom mjestu. Iskusni specijalisti oralne kirurgije, na čelu s Filipom Štimcem, dr.med.dent., uz posebnu pažnju izvode zahvate: ugradnje umjetne kosti, podizanje dna sinusa (sinus lift) i PRF protokola kod ugradnje implantata, apikotomije, alveotomije (vađenja umnjaka), cistektomije i ostale kirurške zahvate u oralnoj šupljini.
Pokažite više Pokažite manjeKada se preporučuje oralno-kirurški zahvat?
Kirurški zahvati u usnoj šupljini ili na čeljusti rješenje su za brojne tegobe. Snažna bol, oticanje, upale, anomalije i defekti samo su neke od situacija u kojima je najbolje rješenje oralna kirurgija (međuostalim; operacija zuba), a odluku za zahvat olakšat će uputa stomatologa na temelju dijagnostike. Oralna kirurgija je grana dentalne medicine koja predstavlja rješenje u slučaju kada se nedostatak zubi nadomješta ugradnjom implantata te kada niste idealan kandidat za ugradnju implantata, a uz određene postupke (sinus lift, ugradnja umjetne kosti, PRF protokol) bi to mogli postati. Također, brojne tegobe u usnoj šupljini, ako se na vrijeme ne sankcioniraju kirurškim putem, mogu rezultirati težim posljedicama, poput gubitka ili uništenja postojećih ili susjednih zubi.
Provjerite našu stručnost
Kada se u slučaju nedostatka zuba pristupa zahvatu ugradnje implantata, no maksilarni sinus je prenizak i vidljiv je nedostatak kosti, primjenjuje se zahvat podizanja sinusa (sinus lift) i ugradnja umjetne kosti.

Ako se nakon inicijalne dijagnostike uoči da nemate dovoljno kosti za ugradnju zubnih implantata, u Štimac centru dentalne medicine nudimo jednu od najnovijih inovacija u dentalnoj medicini koja će vam povećati mogućnost da postanete kandidatom za ugradnju implantata – PRF protokol. Ovaj inovativni postupak omogućuje regeneraciju kosti pomoću naše krvi i plazme i čime ugradnja implantata postaje dodatno sigurnija.

Oralna kirurgija, odnosno kirurški zahvat rješenje je i za kronične upale i frakture u području vrha korijena zuba (granuloma i ciste), najčešće na već liječenim zubima. Ovi simptomi zahtijevat će uklanjanje vrha korijena zuba, odnosno zahvat apikotomije (resekcija korijena), kako se zub ne bi trebao vaditi. Apikotomija je kratak i bezbolan zahvat koji se izvodi u lokalnoj anesteziji, a obavlja ga Filip Štimac, dr.med.dent., specijalist oralne kirurgije.

Simptomi onemogućenog nicanja zubi koje prati bol i oticanje te impaktirani i retinirani umnjaci koji imaju nepovoljan smjer ili nedovoljno mjesta za nicanje u zubnom luku, upućuju na zahvat alveotomije, odnosno kirurško vađenje zuba.

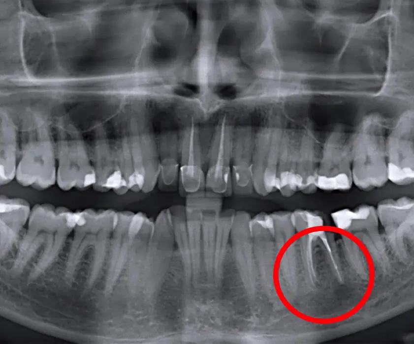
Jaki bolovi i otekline mogu biti prouzročeni zbog periapikalnih lezija zuba, tj. apscesa, granuloma ili različitih cisti, odnosno tvorevina i promjena koje su vidljive oko korijena zuba. Takve promjene se najčešće dijagnosticiraju uvidom u ortopan snimku, a uklanjaju se oralno kirurškim zahvatom – cistektomijom.

Opis zahvata
Kirurški zahvati u usnoj šupljini ili na čeljusti rješenje su za brojne tegobe. Snažna bol, oticanje, upale, anomalije i defekti samo su neke od situacija u kojima je najbolje rješenje oralna kirurgija, a odluku za zahvat olakšat će uputa stomatologa na temelju dijagnostike. Oralna kirurgija je grana dentalne medicine koja predstavlja rješenje u slučaju kada se nedostatak zubi nadomješta ugradnjom implantata te kada niste idealan kandidat za ugradnju implantata, a uz određene postupke (sinus lift, ugradnja umjetne kosti, PRF protokol) bi to mogli postati. Također, brojne tegobe u usnoj šupljini, ako se na vrijeme ne sankcioniraju kirurškim putem, mogu rezultirati težim posljedicama, poput gubitka ili uništenja postojećih ili susjednih zubi.
Osim što je ponekad sastavni dio vašeg stomatološkog tretmana, kao što je to u slučaju ugradnje implantata, oralna kirurgija je vrlo često rješenje koje će vam stomatolog savjetovati kako biste se riješili bolova, oticanja ili drugih zdravstvenih tegoba koje se razvijaju u usnoj šupljini. Odgađanje, zanemarivanje ili nepravilno tretiranje stanja koja se mogu brzo i jednostavno riješiti kirurškimputem može imati za posljedicu daljnji razvoj bolesti, upalnih procesa, anomalija i cisti, infektivnih promjena, uništenja zdravih zubi i narušenja cjelokupnog zdravstvenog stanja osobe. Bitno je reagirati na vrijeme, posjetiti stomatologa koji će napraviti detaljnu dijagnostiku te poslušati njegov savjet oko daljnjih tretmana.
Za sve stomatološke tretmane, a osobito za kirurške zahvate u oralnoj kirurgiji, bitno je koje metode i tehnologije se primjenjuju te reference i iskustvo doktora dentalne medicine. Navedeno će se odražavati na rezultatima zahvata i tome koliko je sam zahvat ugodan za pacijenta. Kirurški zahvati u implantologiji omogućit će osim same ugradnje zubnih implantata i rješenja za ugradnju u slučaju nedostatka kosti i brže prihvaćanje implantata, zarastanje i regeneraciju kosti. Inovacijama i novim tehnologijama u implantologiji osobe mogu brže i sigurnije nego prije dobiti nove zube i novi osmijeh. Kirurški zahvati u usnoj šupljini ili na čeljusti rezultirat će rješavanjem boli, smanjenjem oticanja zbog upalnih procesa ili infektivnih promjena, uklanjanjem impaktiranih ili retiniranih zubi, cisti ili drugih tvorbi i anomalija. Postoperativni savjeti nakon zahvata najčešće uključuju stavljanje obloga na mjesto zahvata radi smanjenja otekline, uzimanje analgetika ili antibiotika u slučaju bolova i za skraćivanje postoperativnog oporavka, maksimalno održavanje oralne higijene, ispiranje usne šupljine te izbjegavanje vruće hrane i napitaka, pušenje i alkohol.
Najmodernija tehnologija i dugogodišnje iskustvo u oralnoj kirurgiji jamstvo su kirurških tretmana, kraćeg vremena oporavka i odličnih rezultata.
Pri dijagnosticiranju dentalne situacije i planiranju kirurške terapije primjenjuje se suvremena rendgenska dijagnostika – panoramska snimka (ortopan), ciljana snimka uz RVG ili 3D dijagnostika korištenjem CT-a. Sva rendgenska tehnologija koju koristimo smatra se najnovijim rješenjima na tržištu te jamči visoku preciznost u dijagnostici i planiranju stomatološke terapije za bilo koji dentalni problem.
Primjena suvremene tehnologije najprisutnija je u oralno kirurškim zahvatima u implantologiji, kao što su postupci ugradnje umjetne kosti i PRF protokola, koji se smatra jednom od najnovijih inovacija u stomatologiji, a primjenjuje se u samo rijetkim poliklinikama. U Štimac centru za potrebe PRF protokola koristi se poseban moderan uređaj koji procesom centrifuge razdvaja sastojke krvi pacijenta i dobiva membranu, čime ugradnja implantata u slučaju nedostatka kosti postaje puno sigurnija i brža, a sam postupak baziran na krvi pacijenta je potpuno prirodan.
Visoko educirani i iskusni oralni kirurzi primjenjuju najnovije metode i pristupe u oralnoj kirurgiji kako bi svaki zahvat prošao što brže i ugodnije za pacijenta uz najbolje rezultate. Sterilizacija i dezinfekcija uređaja i same ordinacije te visoki standardi higijene segment je kojemu pridajemo osobitu pažnju tijekom svakog operativnog zahvata.
Naši stručnjaci


Zašto odabrati Štimac centar dentalne medicine?
- Odjel oralne kirurgije na čelu sa specijalistom Filipom Štimcem, dr. med. dent.
- Sigurnija ugradnja implantata uz primjenu inovativnog postupka PRF protokola
- Potpuna usluga i svi oralno kirurški zahvati na jednom mjestu
- Više od 20.000 ugrađenih zubnih implantata s preko 99% uspješnosti
- Svaki zahvat započinje detaljnim kliničkim pregledom i određivanjem plana tretmana
- Napredna rendgenska dijagnostika
- Svi kirurški zahvati su bezbolni za pacijenta jer se izvode pod lokalnom anestezijom
- Specijalist oralne kirurgije uvršten među najbolje oralne kirurge u Hrvatskoj
- Centar s preko 40 godina tradicije
Što naši pacijenti kažu o nama?
Iskustvo
Iskustvo
Izaberite način plaćanja
Kako bismo vam olakšali financiranje vašeg stomatološkog zahvata, odobravamo vam 5 do 15% popusta na gotovinsko plaćanje ovisno o količini radova i visini vaše ponude. Također, osim plaćanja gotovinom, nudimo vam i mogućnost plaćanja Maesto, Master card, Visa i Visa Premium karticama do 24 rate bez kamata.
















