Cistektomija

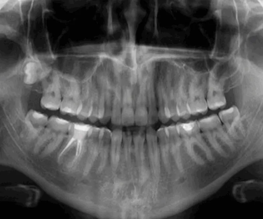
Panoramskom snimkom vrlo brzo je vidljiv uzrok boli i otoka te prilikom dijagnostike doktor dentalne medicine predlaže terapiju. U stomatološkoj poliklinici Štimac u Zagreb, Filip Štimac, dr.med.dent., specijalist oralne kirurgije detaljno će Vam objasniti zahvat cistektomije i što možete očekivati nakon zahvata.
Provjerite našu stručnost
Zubne ciste su šupljine obložene tkivom te se mogu pojaviti u zubnoj čeljusti ili mekom tkivu (npr. u obrazima). Zubne ciste nastaju posljedica na konstantnu infekciju koja se pojavljuje na vrhu korijena. Inficirani zubi najčešće se javljaju uslijed loše oralne higijene ili netretiranja karijesa na vrijeme.
U posljednje vrijeme spominje se i genetsko naslijeđe kada su u pitanju zubne ciste te različiti urođeni sindromi.
Vrlo bitno je naglasiti da pacijent osjeti prve simptome već kada kada je cista u akutnom stanju te započinju bolovi.
Simptomi zubnih cisti su:
– Promjena boje zuba
– Veliki karijes koji nije liječen
– Izbočina na kosti (čeljusti) iznad zuba
– Fistula
– Bol, oteklina, crvenilo oko zuba
Ukoliko se dijagnosticira jedna od navedenih promjena, potrebno je u što kraćem roku ukloniti nastalu promjenu kako ona ne bi rasla te se proširila na susjedne zube. Ne tretiranjem promjena zubna struktura može oslabiti, oštetiti zdrave zube, zahvatiti sinus i nos te uzrokovati velike upale na licu.
Cistektomija se provodi u lokalnoj anesteziji što znači da je zahvat u potpunosti bezbolan za pacijenta. Oralni kirurg prilikom zahvata u potpunosti uklanja cistu, skraćuje vrh korijena te zatvara kanale zuba. Ukoliko je cista zahvatila veći dio korijena tada je zub potrebno izvaditi i ukloniti cistu. Tjedan dana nakon zahvata skidaju se šavovi.
1. Nakon operativnog zahvata potrebno je stavljanje hladnih obloga na mjesto zahvata radi smanjenja otekline
2. U slučaju bolova uzimanje analgetika po preporuci stomatologa
3. Uzimanje antibiotika kako bi se skratio postoperativni oporavak
4. Nakon 7 dana skidaju se konci, a sve to vrijeme potrebno je maksimalno održavanje oralne higijene i četkanje oko rane nježnim pokretima radi uklanjanja naslaga
5. Ispiranje usne šupljine čajem od kadulje, slanom vodom ili antiseptikom
6. U slučaju blagog krvarenja iz šavova može se na njih primijeniti vlažna vrećica nekog čaja (preporuka crnog čaja)
7. Nakon samog zahvata, poželjno je jesti tekuću hranu, a pritom treba izbjegavati vruće napitke i vruću hranu
8. Preporučuje se izbjegavati pušenje neposredno nakon zahvata
9. Preporučuje se izbjegavati konzumaciju alkohola
Zašto odabrati Štimac centar dentalne medicine?
- Potpuna rendgenska dijagnostika na jednom mjestu
- Preko 20.000 ugrađenih zubnih implantata
- Specijalist oralne kirurgije s višegodišnjim iskustvom
- 3 godina garancije na konstrukciju protetskog dijela nadogradnje na zubnom implantatu
- Preko 30.000 zadovoljnih pacijenata
- Certifikat implantološke akademije – edukativni centar za ugradnju Bego implantata
- Renomirani zubni implantat s 99% uspješnosti ugradnje implantata
- Individualan pristup svakome pacijentu












