Kako riješiti sve češći problem parodontoze?
Kako riješiti sve češći problem parodontoze?
S vama rado dijelimo naše znanje i kroz stručne savjete vas želimo educirati o važnosti brige o oralnom zdravlju i mogućnostima koje vam moderna stomatologija nudi u našem centru. Za sve ostale informacije uvijek nam se možete obratiti na email info@drstimac.com ili nas nazvati na +385 1 36 33 602
Zasigurno ste se do sada već mnogo puta susreli s riječima poput parodontologija ili parodontoza. U novije vrijeme sve se češće spominje bolest parodonta kao bolest modernog doba koja pogađa čak svaku treću osobu! Nažalost, mnogi još uvijek ne znaju o čemu je točno riječ, kako je prepoznati i što je potrebno napraviti kako bi se bolest držala pod kontrolom.

Što je parodontologija, a što parodontoza?
Parodontologija je grana stomatologije koje se bavi proučavanjem i liječenjem potpornih struktura zuba tj. zubnog mesa, kosti i tkiva koja vežu zub za kost.
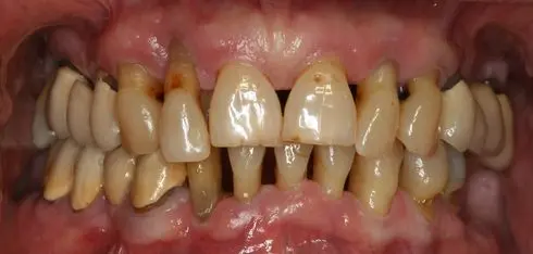
Bolest parodonta (parodontoza, parodontitis) najčešća je bolest suvremenog svijeta poslije karijesa. Danas sve više i više pacijenata dolazi u ordinaciju upravo radi tog problema. Parodontoza ne bira spol niti godine te je iz tog razloga vrlo bitno na vrijeme prepoznati simptome i krenuti u proces liječenja. Činjenica je da nakon 40. godine života više ljudi izgubi zube zbog parodontoze nego karijesa.
Koji su uzroci parodontoze?
Uzroci parodontoze mogu biti zaista vrlo različiti, no najčešće su glavni razlozi loša oralna higijena i loše životne navike. U prvom redu to su pušenje, prehrana ili škripanje zubima.
Prisutnost bakterije plaka ključna je za razvoj parodontoze. Uslijed loše oralne higijene plak se skuplja na površini zuba, a kiseline koje proizvodi uništavaju zubnu caklinu i uzrokuju probleme te bol desni. Zubni kamenac koji se taloži između zuba i zubnog mesa može utjecati na polagano podizanje zubnog mesa te potaknuti naticanje, crvenilo i upalni proces desni. Kako bi se izbjegle infekcije, upale desni te općenito očuvalo zdravlje zuba, zubni kamenac trebate redovito čistiti, kao i posjećivati stomatologa koji na vrijeme može uočiti promjene zubnog mesa te usne šupljine.
Koji su simptomi parodontoze?
Postoji više oblika parodontalnih bolesti, od blagih slučaja gingivitisa pa sve do trajnih upala desni ili parodontoze.
Znakovi i simptomi parodontitisa uključuju:
- natečene desni
- svijetlo crvene ili purpurne desni
- desni koje se povlače od vaših zubi zbog čega vaši zubi izgledaju veće nego inače
- razvija se novi prostor između zubi (podizanje zubnog mesa i ogoljenje korijena zuba)
- nastaje gnoj između zubi i desni
- loš zadah te loš okus u ustima
- promjene u zagrizu
Ako takve simptome ne počnete liječiti na vrijeme, bolesti desni mogu uzrokovati ozbiljne infekcije koje dovode do ispadanja zubi ili gubitka koštane strukture koja podržava zube. Danas je parodontoza vrlo raširena bolest i smatra se najčešćim uzročnikom ispadanja zubi kod starijih osoba.

Koji su stupnjevi uznapredovalosti parodontoze i moguće terapije?
Ranim stadijem bolesti parodonta zvanog gingivitis oštećuje se površinski dio tkiva koji je današnjim metodama liječenja parodonta moguće sanirati na vrijeme. Taj stadij se očituje simptomima kao što su preosjetljivost zubnog mesa, naticanje gingive, stvaranje parodontnih džepova i podizanje zubnog mesa koje vodi laganom ogoljenju korijena zuba. Ako se početni stadij bolesti parodonta ne liječi, bolest može uznapredovati do kasnijeg stadija parodontoze koja sa sobom nosi klimanje i posljedično ispadanje zubi.
Prvi i osnovni korak je cjelokupno čišćenje koje uključuje smanjivanje i uklanjanje plaka, te naslaga kamenca i pigmentacije. Sljedeći korak u saniranju problema sa zubnim mesom je parodontološka terapija. Parodontoza se u svakom slučaju treba liječiti parodontološkim tretmanom kojim se zubno meso kiretira i tretira na način da se oporavi do određenog stadija. Parodontološkom terapijom kiretiraju se ili stružu gingivalni džepovi kako bi se tretirano zubno meso nakon terapije spustilo i time zaustavila recesija ili podizanje zubnog mesa.
Kod stupnja uznapredovalosti gdje je već došlo do klimanja zubi potrebno je zube učvrstiti mostovima odnosno povezanim krunicama koje daju potporu strukturi zuba i time sprječavaju prerano ispadanje zuba. Kada dođe do velikog ogoljenja zubnog korijena na više zubi ili u cijeloj čeljusti, zubi se kreću klimati i zato je ogoljeli dio korijena potrebno zaštiti protetskim nadomjestcima kao što su krunice. Kada dolazi do nestanka tkiva gingive i ogoljenja zubnog korijena moguće je napraviti presađivanje gingive sa sluznice usne šupljine. Presađivanjem gingive sprječava se daljnje propadanje zubi i zubnog mesa.
Što uključuje liječenje parodontoze?
Zbog vrlo teških i trajnih posljedica (koje uključuju ispadanje zuba, infekcije i povlačenje zubnog mesa) na prve znakove bolesti parodonta potrebno je što prije reagirati i potražiti pomoć stomatologa koji vam može preporučiti liječenje parodontoze te parodontnu terapiju. Stomatolog će nakon pregleda i provedene dijagnostike odrediti terapije najbolje za vaše trenutno dentalno stanje te ćete sukladno terapiji dobiti i cjenovnu ponudu i termine kako biste što prije započeli sa parodontološkom terapijom. Parodontološka terapija je terapija prilikom koje se kiretiraju parodontni džepovi. Posebnim lancetama ulazi se ispod zubnog mesa i čisti se zubni plak i kamenac oko korijena zuba. Takvo čišćenje zubnog plaka sa samog korijena zuba omogućit će regeneraciju desni i time ponovno spuštanje desni ili u već uznapredovalim slučajevima zaustaviti podizanje desni i upalne procese povezane s parodontitisom. Uvijek ponavljamo našim pacijentima kako je preventiva pola zdravlja!

Što je parodontološka terapija?
Parodontološka terapija je tretman koji je danas sve češći u stomatologiji. Svugdje u modernoj dentalnoj medicini za bilo kakav daljnji tretman potrebno je napraviti kiretažu zubnog mesa. Vrlo je bitno učvrstiti zube kod velikih protetskih radova (stavljanja krunica, mostova, ponekad i ljuskica) kako bi protetski nadomjestak dobio svoj prirodan izgled. Parodontološkom terapijom zubno meso se dovodi do stanja gdje tim doktora može započeti protetski tretman. Parodontološkom terapijom uspijevaju se dobiti izvrsni rezultati jer tretirano zubno meso postaje zdravije, a time se naravno i zubi učvršćuju.
Nakon same terapije, bitno je da nastavite brinuti o svojim zubima i oralnom zdravlju provodeći kvalitetnu i detaljnu higijenu svaki dan.
Zašto je oralna higijena ključan faktor kod bolesti parodonta?
Oralna higijena u ovoj grani stomatologije (parodontologiji) ima jako veliku ulogu, a pogotovo su važna sredstva za održavanje oralne higijene.
U sredstva za održavanje oralne higijene spadaju zubne četkice i paste za zube, interdentalne četkice, zubni konac vodica za ispiranje usne šupljine te različite metode četkanja zubi i tehnike primjene svih navedenih sredstava. Zubni konac je vrlo bitan jer uklanja bakterije i plak na površinama do kojih teško možemo doći četkicom za zube. Uz pravilno četkanje zubi barem dva puta dnevno, preporučamo i temeljito čišćenje zubnim koncem, a od velike važnosti je i četkanje jezika jer se time skidaju odumrle stanice, bakterije i ostaci hrane.
Važnost primjene različitih sredstava za održavanja higijene usne šupljine i općenito oralne higijene zaista je velika te ne možemo dovoljno istaknuti koliko je održavanje oralne higijene važno kada je riječ o bolesti parodonta.
Ako primijetite simptome upaljenog zubnog mesa ili bilo koji početni stadij parodontoze (natečenost zubnog mesa, povlačenje desni i crvenilo, vrlo neugodan zadah) što prije potražite savjet svog stomatologa kako bi na vrijeme intervenirao i uspio spasiti propadanje zubi.



